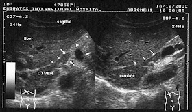
This patient presented with abdominal discomfort and underwent sonography of the abdomen. Ultrasound images show a rounded mass in the region of the pancreatic head and isthmus. It shows the same echogenicity as the liver (photos 1 and 2). This suggested the possibility of a pancreatic mass, possibly malignant.
1-
2-
However, images 3 and 4, reveal a different diagnosis- the possible "mass" appears to be an extension of the caudate lobe of the liver. These ultrasound images are diagnostic of "papillary process of the caudate lobe of liver."This normal variant may thus mimic pancreatic or preaortic lymph node masses.
3-
4-
Images courtesy of Dr. Ravi Kadasne, UAE.



